Why Stroke Prevention Matters
A stroke can change a person’s life in seconds. Depending on its severity, a stroke can lead to sudden, profound changes in physical ability, communication, and cognitive function, requiring extensive recovery. It often leads to permanent disruptions to a person’s way of life.
Many of the factors that contribute to a stroke build quietly over time, often without obvious symptoms. Because strokes affect blood flow within the brain, neurology plays a vital role in both identifying risk early and supporting long-term recovery.
At Clinical Neurology Specialists, our team works with patients across the Las Vegas and Henderson areas to help reduce stroke risk, diagnose early warning signs, and guide individuals and families through the recovery process with clarity and compassion.

What Happens During a Stroke?
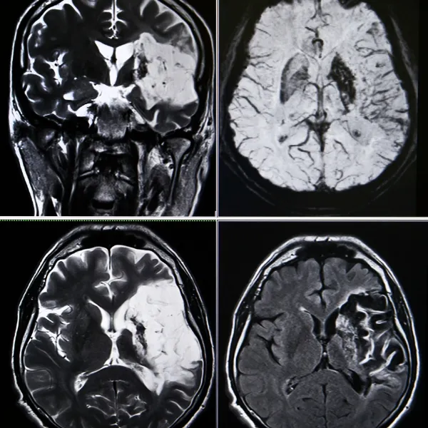
A stroke occurs when the brain suddenly loses access to the blood and oxygen it needs. This can happen in two ways:
- A blocked blood vessel, known as an ischemic stroke
- A ruptured blood vessel, known as a hemorrhagic stroke
Some people experience a transient ischemic attack (TIA), commonly called a “mini-stroke.” Although the symptoms improve quickly, a TIA is one of the strongest predictors of a future stroke, and should never be ignored.
Because strokes directly affect the brain, neurologists play an important role in determining what type of stroke occurred, what part of the brain is affected, and what steps are needed to protect long-term function.
How Neurologists Help Prevent Strokes
Preventing a stroke is one of the most important goals of neurological care. Many patients in the Las Vegas and Henderson communities come to CNS because they’ve experienced concerning symptoms, have a family history of stroke, or want expert guidance on managing their vascular or neurological health.
Neurologists look at your full health picture—your symptoms, lifestyle, medical history, and any underlying conditions that may increase your risk. From there, they create a personalized plan focused on prevention and early intervention.
Advanced diagnostic tools help us understand what’s happening inside the brain and blood vessels. At CNS, we offer in-office testing such as EEG, EMG, nerve conduction studies, and ultrasound (TCD) to evaluate brain activity, nerve function, and cerebral blood flow. These tests allow us to detect subtle changes early and take action before a stroke occurs.
The goal is simple: reduce risk through clear answers, personalized treatment, and long-term neurological support.
What Neurologists Do After a Stroke
Recovery after a stroke looks different for everyone. Some people experience mild weakness or temporary difficulty speaking, while others may face more significant challenges in movement, balance, cognition, or sensory function.
One of the neurologist’s most important roles is to evaluate how the stroke affected the brain and how those changes impact daily life. This initial assessment helps guide individualized recovery plans, which may include physical therapy, speech therapy, occupational therapy, and cognitive rehabilitation.
Neurologists continue to support recovery in the weeks and months after a stroke. This includes adjusting medications, monitoring neurological changes, managing symptoms like pain or fatigue, and providing strategies to prevent another stroke.
At CNS, we’re committed to helping patients regain confidence, rebuild skills, and improve their quality of life throughout recovery.
Supporting Loved Ones Through Recovery
A stroke affects more than just the person who experienced it—it affects their entire support system. Loved ones often take on new roles, navigate unfamiliar medical decisions, and manage emotional changes that may arise during recovery.
Neurologists help families understand what to expect, how to support rehabilitation at home, and which symptoms need urgent attention. Education and compassionate guidance make a major difference in how patients progress.
At CNS, we partner with families throughout Las Vegas and Henderson to ensure caregivers feel supported, informed, and empowered.

Frequently Asked Questions
We’re Here to Help
Whether you’re concerned about stroke risk, supporting a loved one, or rebuilding after a recent event, you don’t have to navigate the process alone. At Clinical Neurology Specialists, we provide trusted neurological care to patients throughout Las Vegas, Henderson, and the surrounding Southern Nevada communities.To schedule a visit or learn more, visit http://cnsnevada.com/.